Início » Trab. Estudantes » Biologia e TLB » 10º Ano

Trabalhos de Estudantes

Trabalhos de Biologia - 10º Ano

 

Observação de Amiloplastos nas Células da Batata

Autores: Vasco Filipe

Escola: Escola Secundária de Arouca

Data de Publicação: 15/02/2010

Resumo do Trabalho: Relatório de observação de amiloplastos nas células da batata, realizado no âmbito da disciplina de Biologia. Ver Trabalho Completo

Comentar este trabalho / Ler outros comentários

Se tens trabalhos com boas classificações, envia-nos, de preferência em word para notapositiva@sapo.pt pois só assim o nosso site poderá crescer.

 

 

 

Observação de Amiloplastos nas Células da Batata

Observação de amiloplastos nas células da batata

Digestão do amido pela acção de enzimas

Introdução

Este é um relatório que tem como objectivo dar a conhecer o resultado das observações microscópicas feitas aos amiloplastos nas células da batata e á digestão do amido pela acção das enzimas no âmbito da disciplina de Biologia e Geologia. Com este trabalho será possível realizar novamente todas as observações e comprovar de igual forma o que é apresentado no enquadramento teórico. É possível também consultar os resultados, sob forma de desenhos e tabelas, de todas as observações feitas assim como a sua descrição e interpretação. Os anexos servirão para uma melhor compreensão de alguns conceitos. Para mais esclarecimentos é facultada a bibliografia.

Enquadramento Teórico

A célula (ver anexo: fig.1) é a unidade estrutural e funcional dos organismos vivos. É a matéria viva com capacidade de reprodução de menores dimensões. As células foram descobertas em 1665 pelo inglês Robert Hooke (wikipéda, 2009) (ver anexo: fig.2). Estas podem subdividir-se em dois tipos: as procarióticas e as eucarióticas (ver anexo:fig.3 e 4). A célula procariótica é de muito reduzidas dimensões, não possui sistemas endomembranares nem organelos, destacando-se essencialmente a ausência de núcleo. A ADN destas células encontra-se numa região do citoplasma denominada nucleoide (ver anexo: fig.5). Já as células eucarióticas têm uma dimensão 1000 vezes superior á das procarióticas. Possui sistemas endomembranares nomeadamente o núcleo que toma maior destaque (ver anexo: fig.6). O ADN (ver anexo: fig.7) destas células encontra-se organizado no interior do núcleo, nos cromossomas (Oliveira et al, 2007).

Aprofundando um pouco mais o tipo de células eucarióticas podemos dividi-las em animais e vegetais.

As células animais têm como constituintes:

. Núcleo compartimento celular onde se encontra a informação genética que comenda toda a actividade celular.

. Nucléolo – ligado principalmente á coordenação do processo reprodutivo, tem como uma das funções organizar os cromossomas.

. Invólucro nuclear – pequena película que protege o núcleo do citoplasma.

. Retículo endoplasmático – estruturas endomembranares interligadas e em contacto, formando uma rede de “sacos” internos onde são sintetizadas as proteínas.

. Complexo de Golgi – conjunto de cisternas e sacúolos achatados, intimamente conectados com o reticulo e que participam na secreção das proteínas.

. Mitocôndrias – responsáveis pela obtenção, em condições aeróbicas (presença de oxigénio), da maior parte da energia.

. Membrana plasmática – estabelece o limite da célula e funciona como um filtro selectivo na troca de componentes e informação entre esta e o meio externo.

. Vacúolos – armazenamento de água e resíduos tóxicos (podem ser usados na defesa). Nas células vegetais são em reduzido número e de grandes dimensões enquanto que nas animais são poucos e de reduzidas dimensões.     (consultar anexo: fig.6)

Os constituintes das células vegetais são comuns aos da célula animal á excepção de:

. Cloroplastos – organelo responsável pela fotossíntese, onde se localizam os pigmentos que conferem cor às folhas.

. Parede celular – confere forma á célula, protegendo-a das agressões do meio externo e concedendo suporte estrutural.    (ver anexo: fig.6)

                                             (Oliveira et al, 2007)

Enquanto que a morfologia das células animais é bastante irregular, a das células vegetais é muito mais geométrica. O que explica este facto é a presença de uma parede celular nas células vegetais, reforçando a membrana e dando uma maior rigidez á célula (Oliveira et al, 2007).         (ver anexo: fig.6)

O trabalho prático teve alguns objectivos nomeadamente: verificar que a célula é a unidade básica de todos os seres vivos, conhecer a constituição das células eucarióticas vegetais e animais, bem como distingui-las. Podemos também identificar as diferentes estruturas das duas células e verificar que os diferentes corantes actuam de modo diferente nas estruturas celulares. Acerca do microscópio óptico aprende-mos a manuseá-lo da melhor forma possível e ficar a conhecer um pouco melhor a sua constituição.     (ver anexo: fig.8)   

Metodologia
(materiais e métodos)

Na observação de células vegetais…

Materiais e reagentes: lâminas, lamelas, pinças, agulhas, conta-gotas, gobelé com água destilada, vidro de relógio e papel de filtro. Os reagentes são: soluto de Lugol, vermelho neutro e azul de metileno.

Material biológico: ¼  de cebola e uma folha de elódea (ver anexo: fig.9).

Equipamento: microscópio óptico e bata.

Procedimento e métodos: Em grupos de 3 alunos cada um destes escolhe o material biológico a estudar. Neste caso utilizámos a cebola por ser bastante fácil de arranjar e de baixo custo. O mesmo acontece com a elódea. Na cebola o passo seguinte será retirar com a pinça uma fina camada epitelial colocando-a na lâmina. De seguida colocámos, com a ajuda do conta-gotas, uma gota de um dos corantes tendo em conta as estruturas celulares que estes evidenciam (o soluto de Lugol evidencia a parede celular, o vermelho neutro o vacúolo e o azul de metileno o núcleo). Já com um pouco de água no vidro de relógio, retirámos os excessos de corante que possam existir. Depois colocámos novamente a preparação na lâmina e com o conta-gotas uma gota de água destilada sobre a folha de elódea. Com a ajuda da agulha sobrepomo-la com a lamela. Utilizamos assim a técnica da agulha para impedir que se formem bolhas de ar. No caso da elódea, o procedimento é um pouco mais facilitado. Retirámos com a ajuda de uma pinça uma folha de elódea. Tal como na cebola com o conta-gotas colocámos uma gota de corante sobre o material biológico. Com a ajuda da pinça e já com um pouco de água no vidro de relógio retirámos os excessos. De novo com a preparação na lâmina colocámos uma gota de água destilada sobre a folha de elódea com a ajuda do conta-gotas. Posteriormente, com a técnica da agulha a lamela sobrepõe a preparação. Quando acharmos conveniente colocar um pouco mais de corante utilizámos a técnica da irrigação que consiste na colocação de corante num dos lados da lamela e do lado oposto com a ajuda de papel de filtro fazermos com que este atravesse toda a preparação sendo assim absorvido pelas estruturas correspondentes.

Na observação de células animais…

Materiais e reagentes: lâminas, lamelas, pinças, agulhas, conta-gotas, papel de filtro, cotonetes, infusão. O reagente será o azul de metileno.

Material biológico: protistas (ver anexo: fig.10) e epitélio bucal

Equipamento: microscópio óptico e bata.

Procedimento e métodos: Novamente em grupos de 3 alunos cada um escolhe o material biológico que quer ter como objecto de estudo. No caso do epitélio bucal, com a ajuda de um cotonete friccionámos a área bucal próxima das bochechas retirando assim o máximo de células do epitélio. De seguida passamos uma das pontas do cotonete para que as células adiram á lâmina. Por último colocámos um pouco de azul de metileno para que se possa notar melhor o núcleo e aplicámos a técnica da agulha. No caso dos protistas, com o conta-gotas retirámos um pouco da infusão previamente preparada para a lâmina, sobrepomo-la com a lamela e está pronta a ser microscopicamente observada. Tal como na observação de células vegetais se for necessário colocar ou retirar um pouco de reagente pode-se sempre utilizar a técnica de irrigação.

Resultados

Na observação microscópica de células eucarióticas vegetais, na fig.1 observámos as células de elódea onde é possível diferenciar os cloroplastos (1), o citoplasma (2), a parede (3) e a membrana celular (4). Os cloroplastos tomam a cor verde. A ampliação total é de 480x, 12x da ocular multiplicados por 40x da objectiva.

Na fig.2 está divulgada a observação microscópica das células da epiderme da cebola com o corante de soluto de Lugol. Nesta é já possível observar o núcleo (1), o vacúolo (2), a membrana (3) e a parede celular (5) e o citoplasma (4). A ampliação total desta observação é também de 480x.

A fig.3 demonstra as células da epiderme da cebola coradas com vermelho neutro. As estruturas representadas são as mesmas que as da fig.2 embora o número de núcleos visíveis nesta seja maior. São assim visíveis as estruturas: parede celular (1), membrana celular (2), vacúolo (3), citoplasma (4) e núcleo (5). A ampliação total é de 480x.

Na observação microscópica de células eucarióticas animais, a fig.4 representa o resultado obtido da observação de protistas, nomeadamente Euglena e Chlamydomonas. As estruturas celulares identificadas foram: o flagelo (1), os organelos celulares (2), o citoplasma (3), a membrana celular (4) e a estrutura 5, os fungos. A ampliação total da observação é de 480x.

A fig.5 e última é a representação da célula de epitélio bucal corado com azul de metileno. São de notar apenas três estruturas: o núcleo (1), o citoplasma (2) e a membrana celular (3). A ampliação é de 480x.  

Discussão dos resultados

Na preparação da fig.1 não está incluído o núcleo, pois aquando da utilização do azul de metileno que deveria reforçar a visualização do núcleo este não surtia efeito. Uma das razões para esta dificuldade será o estado de conservação do corante pelo que se deveria tomar uma maior atenção em relação a isso. Outra das razões será a resistência da elódea a este corante, assim como uma grande densidade das camadas de células. Um dos aspectos positivos é a boa observação dos cloroplastos. Quanto às células do epitélio da cebola são muito mais fáceis de trabalhar. As estruturas são mais definidas quer com soluto de Lugol quer com vermelho neutro. Com os resultados das observações das células vegetais podemos provar que estas têm parede celular ao contrário do que se verifica nas células animais. Com a observação microscópica das células animais podemos testemunhar a sua forma irregular. Um dos obstáculos do registo dos resultados dos protistas é o facto de estes estarem em constante movimento. Podemos também observar os flagelos e a presença de fungos na preparação. No que diz respeito às células de epitélio bucal não há muito a registar, apenas a sua forma irregular devido á ausência da parede celular, facto provado pelos resultados das observações. Um dos dados comuns a todas as observações foi a ampliação total de 480x o que torna possível tirar-se uma conclusão: a objectiva de 40x será a melhor para este tipo de trabalhos. Há excepção da elódea, todos os corantes corresponderam da melhor forma às respectivas estruturas.

Bibliografia

. OLIVEIRA, Óscar e outros, 2007, Desafios, Edições ASA, 2ª edição, Porto.

. MUNOZ, Paloma, 2000, Atlas de Biologia, F.G.P editores, lda, Espanha.

. Wikipédia, a enciclopédia livre, www.wikipédia.org, 2007

Anexos

 
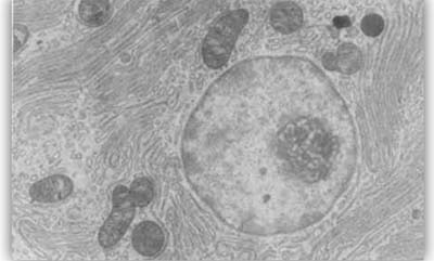
Figura 1 - Célula humana

 


Figura 2 - Robert Hooke

 


Figura 3 - célula procariótica

 


Figura 4 - célula eucariótica (animal) - Euglena

 


Figura 5 - Estrutura da célula procariótica

 


Figura 6 - Estrutura da célula eucariótica animal/vegetal

 


Figura 7 - Estrutura do ADN
 


Figura 8 - Mecânica do microscópio óptico
 

 


Figura 9 - Protista - Chlamydomonas

 


Figura 10 - Protista - Chlamydomonas

 

 

Outros Trabalhos Relacionados

Ainda não existem outros trabalhos relacionados

Início » Trab. Estudantes » Biologia e TLB » 10º Ano